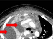
Bệnh nhi 7 tuổi bị sốt xuất huyết Dengue nặng kèm hội chứng thực bào máu hiếm gặp gây suy gan, suy thận nặng, phải thở máy và lọc máu liên tục.
Mời quý vị và các bạn đón xem video dưới đây:
Mời quý vị và các bạn đón xem video dưới đây:
Tin liên quan
Sốt xuất huyết đang có diễn biến phức tạp, với số ca mắc ngày một tăng. Các bác sĩ cho biết, nếu như trước đây, bệnh diễn ra theo mùa thì...
Một đoạn video từ camera an ninh tại cửa hàng xăng dầu ở Quảng Ninh ghi lại cảnh người đàn ông đi ô tô vào đổ xăng nhưng lại tranh thủ bê...
Bé trai 7 tháng tuổi nhập viện trong tình trạng nguy kịch. Qua xét nghiệm, các bác sĩ xác định, bệnh nhi bị nhiễm khuẩn tụ cầu vàng - loại...
Thời gian vừa qua rất nhiều bệnh nhi mắc bệnh sởi phải nhập viện điều trị, đáng nói nhiều trẻ bị biến chứng nặng do chưa được tiêm vắc xin.
Một đoạn video từ camera an ninh tại cửa hàng xăng dầu ở Quảng Ninh ghi lại cảnh người đàn ông đi ô tô vào đổ xăng nhưng lại tranh thủ bê luôn chậu cây cảnh đặt trước cây xăng.