Người phụ nữ 48 tuổi suốt thời gian dài chịu đựng những cơn đau bụng, đau lưng, tức ngực nhưng lại tưởng là dấu hiệu tiền mãn kinh, cho đến khi bất ngờ phát hiện khối u lạc nội mạc tử cung kích thước lớn, buộc phải phẫu thuật ngay để bảo toàn sức khỏe.
Chịu đựng đau bụng dưới dai dẳng vì nghĩ là dấu hiệu tiền mãn kinh
Nhiều tháng liền, chị H (48 tuổi, Ninh Bình) liên tục đối diện với những cơn đau bụng dưới âm ỉ, có lúc lan sang hông và xuống lưng, kéo theo tình trạng tức ngực khó thở. Vì nghĩ là triệu chứng của tiền mãn kinh nên chị cố chịu đựng, chần chừ chưa đi khám, đau quá chị uống thuốc giảm đau để cầm chừng. “Cũng có lúc đau quặn bụng nhưng tôi nghĩ sắp mãn kinh rồi, cố chịu vài tháng là hết. Ai ngờ không những không đỡ mà còn nặng nề hơn”, chị H chia sẻ.
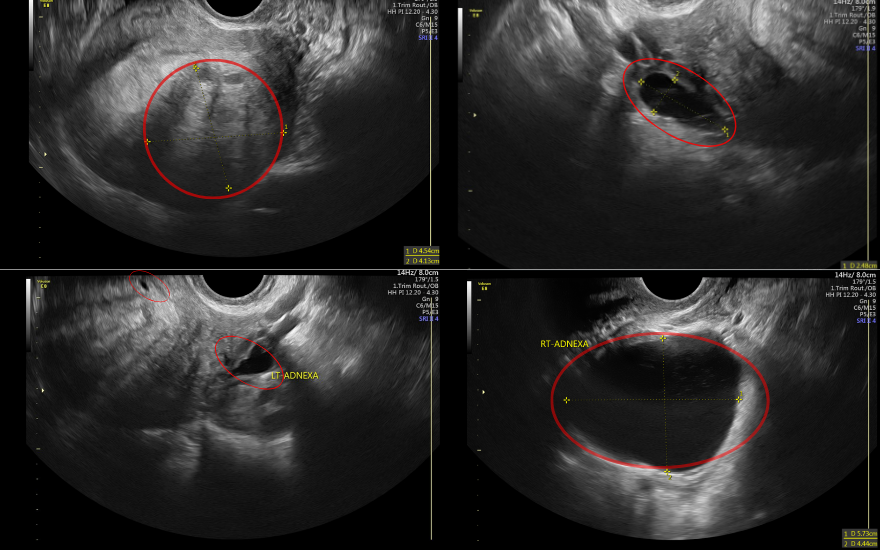
Khi các cơn đau kéo dài và ngày càng trầm trọng, chị H mới quyết định đến BVĐK Hồng Ngọc Phúc Trường Minh thăm khám. Qua siêu âm, các bác sĩ phát hiện bệnh nhân có khối lạc nội mạc tử cung kích thước khoảng 5cm, kèm theo nhiều tổn thương nhỏ ở buồng trứng và thành bụng, đây chính là nguyên nhân khiến tử cung và buồng trứng bị chèn ép, gây đau dai dẳng, thậm chí có thể biến chứng nguy hiểm nếu không xử trí kịp thời.
Siêu âm cho thấy chị H có nhiều khối lạc nội mạc cùng các nang buồng trứng.
ThS.BSCKII Nguyễn Văn Xuyên (Khoa Sản Phụ khoa - BVĐK Hồng Ngọc Phúc Trường Minh) cho biết: “Đau bụng dưới, đau lưng, hay tức ngực, khó thở có thể là dấu hiệu cảnh báo bệnh lý phụ khoa nguy hiểm. Tuy nhiên, nhiều phụ nữ lại chủ quan chịu đựng hoặc tự ý dùng thuốc giảm đau tại nhà khiến triệu chứng bị che lấp, đến khi phát hiện thì bệnh đã tiến triển nặng, buộc phải can thiệp ngoại khoa”.
Cẩn trọng từng milimet bóc khối lạc nội mạc tử cung
Ngay lập tức, chị H được chỉ định phẫu thuật nội soi bóc tách khối lạc nội mạc tử cung để tránh nguy cơ biến chứng. Trong quá trình phẫu thuật, ê-kíp ghi nhận tình trạng viêm dính xâm lấn diện rộng khiến vùng chậu bị biến dạng. “Cả tử cung và buồng trứng dính chặt thành 1 khối, chưa kể có cả khối lạc nội mạc chỉ cách bàng quang vài milimet, nang buồng trứng nhỏ nhưng nằm sát nhau, nếu lơ là dù chỉ 1 giây cũng có thể làm tổn thương đến các cơ quan lân cận”, bác sĩ Xuyên cho hay.
Ê-kíp nội soi bóc toàn bộ khối lạc nội mạc và tử cung.
Vì vậy, các bác sĩ đã phải bóc tách tỉ mỉ từng lớp mô, trước hết để giải phóng viêm dính, sau đó xử lý các tổn thương, đồng thời cố gắng tránh tác động đến các cơ quan lân cận. Sau khoảng 1 tiếng phẫu thuật, toàn bộ tử cung cùng khối lạc nội mạc và các nang buồng trứng được loại bỏ thành công.
Hiện tại, chị H đã có thể đi lại, sinh hoạt bình thường và chuẩn bị được xuất viện: “Sau phẫu thuật khoảng 24h là tôi đã có thể tự đi lại được, cảm giác bụng cũng không còn căng tức nữa.”
Lạc nội mạc tử cung là bệnh phụ khoa có thể xuất hiện ở mọi lứa tuổi, kể cả với những phụ nữ trẻ tuổi hoặc những người sắp mãn kinh. “Đau bụng âm ỉ, đau lan sang thắt lưng hay rong kinh kéo dài là những triệu chứng thường gặp nhất của bệnh lý này”, bác sĩ Xuyên nhấn mạnh.
Lạc nội mạc tử cung thường gây đau bụng kéo dài, đau lưng và rong kinh.
Các bác sĩ khuyến cáo chị em nên khám phụ khoa định kỳ và khám ngay khi có dấu hiệu bất thường như đau bụng dưới kéo dài, rối loạn kinh nguyệt, đau vùng chậu, lưng hoặc cảm giác tức nặng bụng,... Việc phát hiện sớm không chỉ giúp chẩn đoán chính xác nguyên nhân và điều trị kịp thời, mà còn tăng hiệu quả can thiệp, hạn chế nguy cơ bệnh tiến triển nặng buộc phải phẫu thuật hoặc cắt bỏ tử cung, ảnh hưởng trực tiếp đến sức khỏe và chất lượng cuộc sống.
Khám phụ khoa định kỳ giúp phát hiện sớm các bệnh phụ khoa nguy hiểm.
Tại BVĐK Hồng Ngọc, chị em được tiếp cận dịch vụ khám - điều trị bệnh phụ khoa toàn diện với hệ thống thiết bị hiện đại và đội ngũ bác sĩ giàu kinh nghiệm, từ đó giúp phát hiện sớm, dự phòng hiệu quả và điều trị kịp thời các bệnh lý phụ khoa nguy hiểm.
Liên hệ hotline 0886 621 046 - 0886 468 306 để được tư vấn.



