Bệnh viện FV vừa điều trị thành công cho hai bệnh nhân mắc bệnh lý hiếm gặp: xoắn u xơ tử cung và xoắn phần phụ trong thai kỳ nhờ sự phối hợp đa chuyên khoa. Điều đáng nói, cả hai bệnh lý nguy hiểm này lại có triệu chứng ban đầu rất đơn giản là đau bụng, buồn nôn.
Từ đau bụng tưởng rối loạn tiêu hóa đến biến chứng phụ khoa hiếm gặp
Chị T.T., 29 tuổi (ngụ tại TP.HCM) nhập viện với triệu chứng đau bụng dưới kèm tiêu chảy - triệu chứng dễ khiến nhiều người nghĩ đến rối loạn tiêu hóa. Các kiểm tra ban đầu không ghi nhận bất thường đáng kể ngoài một khối u xơ tử cung, nên chị T. được điều trị triệu chứng và cho về.
Tuy nhiên, chỉ sau 2 ngày, cơn đau không giảm mà kéo dài hơn, kèm dấu hiệu viêm tăng. Khi quay lại bệnh viện, chị T. được đánh giá lại với sự tham gia của nhiều chuyên khoa. Kết quả hình ảnh học cho thấy khối u xơ lớn có dấu hiệu giảm tưới máu. Từ việc tổng hợp các dữ kiện lâm sàng và cận lâm sàng, ê-kíp đã xác định chẩn đoán: xoắn u xơ tử cung có cuống – một biến chứng hiếm gặp, chiếm dưới 0,25% các trường hợp u xơ dưới thanh mạc.
Ngay lập tức, chị T. được chỉ định phẫu thuật nội soi cấp cứu. Trong quá trình can thiệp, khối u xơ kích thước lớn được ghi nhận đã xoắn hoàn toàn, gây tắc nghẽn tuần hoàn. ThS.BS Võ Triệu Đạt cho biết: “Nếu mổ chậm hơn sẽ đưa đến nguy cơ tổn thương không hồi phục của các mô và cơ quan lân cận do thiếu máu nuôi, cùng các biến chứng nặng như hoại tử, nhiễm trùng, viêm phúc mạc”.
Nhờ chẩn đoán chính xác và kịp thời, ca mổ nội soi diễn ra thuận lợi và chị T. được xuất viện chỉ sau 2 ngày.
Bác sĩ Võ Triệu Đạt (giữa) và ê-kíp phẫu thuật nội soi cho bệnh nhân. (Ảnh: FV)
Giải cứu thai phụ gặp biến chứng xoắn phần phụ trong thai kỳ
Chị X.A., 30 tuổi, đến Bệnh viện FV với triệu chứng đau nhẹ vùng hố chậu phải. Sau 24 giờ, cơn đau tăng đột ngột, kèm buồn nôn, nôn ói. Siêu âm cho thấy buồng trứng phải phình to gần gấp đôi. ThS.BS Võ Triệu Đạt lập tức yêu cầu hội chẩn liên chuyên khoa với các chuyên gia ngoại khoa và chẩn đoán hình ảnh. Kết luận sau hội chẩn cho thấy đây là tình trạng xoắn phần phụ buồng trứng ở bệnh nhân mang thai 5–6 tuần.
ThS.BS Võ Triệu Đạt cho biết: “Xoắn phần phụ buồng trứng ở thai phụ là trường hợp hy hữu, tỷ lệ chỉ 1,6/10.000 thai kỳ”. Những triệu chứng ban đầu gần giống với hàng loạt vấn đề quen thuộc hơn như dọa sảy thai, sinh non, viêm dạ dày… khiến bác sĩ dễ chẩn đoán nhầm. Thực tế, khoảng 57% trường hợp xoắn phần phụ có cơn đau cách hồi khiến việc chẩn đoán bệnh dễ bị nhầm lẫn.
Trong khi đó, nếu can thiệp trong 24 giờ đầu, khả năng bảo tồn buồng trứng lên tới 84%. Nếu chẩn đoán muộn, không kịp phẫu thuật để tháo xoắn sẽ nguy hại đến cả mẹ và thai nhi như hoại tử buồng trứng ở người mẹ, ảnh hưởng nghiêm trọng đến hệ thống nội tiết và sinh sản của mẹ trong tương lai, còn thai kì sẽ tăng nguy cơ sẩy thai, dọa sinh non thậm chí thai chết lưu do hậu quả của thiếu máu nuôi.
Chị X.A được phẫu thuật nội soi cấp cứu ngay lập tức. Ngay sau khi tháo xoắn, buồng trứng dần hồi phục tưới máu - dấu hiệu cho thấy đã được can thiệp kịp thời. Bệnh nhân xuất viện sau 2 ngày, thai kỳ phát triển ổn định.
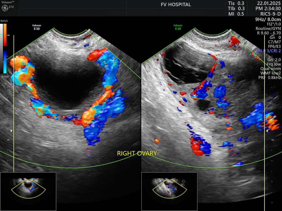
Hình siêu âm tái khám sau 1 tuần: bên trái buồng trứng xoắn, bên phải buồng trứng đã được tưới máu lại bình thường sau phẫu thuật. (Ảnh: FV)
Phối hợp đa chuyên khoa – yếu tố quyết định trong các ca bệnh phức tạp
Theo ThS.BS Võ Triệu Đạt – Khoa Sản FV Thomson, điểm chung của cả hai ca bệnh là triệu chứng ban đầu không điển hình, dễ gây nhầm lẫn với các bệnh lý thường gặp, khiến việc chẩn đoán gặp nhiều khó khăn.
“Thách thức không nằm ở kỹ thuật phẫu thuật, mà ở việc nhận diện đúng vấn đề. Khi các dữ kiện được xem xét riêng lẻ, rất dễ dẫn đến chẩn đoán sai. Việc phối hợp đa chuyên khoa giúp chúng tôi kết nối các thông tin và đưa ra quyết định điều trị kịp thời”, bác sĩ Đạt cho biết.
Tại Bệnh viện FV, mô hình phối hợp đa chuyên khoa đã trở thành quy trình thường quy trong thực hành lâm sàng, đặc biệt với những ca bệnh phức tạp. Cách tiếp cận này giúp nâng cao độ chính xác trong chẩn đoán và tối ưu hiệu quả điều trị.
Những kinh nghiệm từ các ca bệnh thực tế cũng được đội ngũ bác sĩ FV chia sẻ tại hội thảo CME với chủ đề “Những thách thức trong quản lý bệnh lý phụ khoa” do bệnh viện tổ chức ngày 21/3/2026, thu hút hơn 700 bác sĩ và chuyên gia tham dự. Không chỉ cập nhật kiến thức chuyên môn, hội thảo còn là diễn đàn trao đổi kinh nghiệm xử lý các ca bệnh khó và hiếm gặp trong thực hành lâm sàng.
Hội thảo CME “Những thách thức trong quản lý bệnh lý phụ khoa” là nơi trao đổi kinh nghiệm xử lý các ca bệnh khó
Sự quan tâm lớn từ cộng đồng y khoa phần nào cho thấy nhu cầu ngày càng cao đối với các mô hình điều trị toàn diện, đồng thời khẳng định uy tín của Bệnh viện FV trong lĩnh vực sản phụ khoa tại khu vực phía Nam.
Song song đó, việc đưa vào sử dụng hệ thống robot da Vinci Xi cũng góp phần mở rộng khả năng xử lý các ca khó. Công nghệ này cho phép bác sĩ thao tác chính xác và linh hoạt hơn trong những phẫu thuật phức tạp, từ đó giảm mất máu và rút ngắn thời gian hồi phục cho người bệnh.


