Trồng răng Implant miễn phí nghe hấp dẫn nhưng liệu có thực sự an toàn và hiệu quả? Bài viết sẽ giúp bạn hiểu rõ bản chất và những yếu tố cần cân nhắc, giúp bạn đưa ra lựa chọn đúng đắn.
Trồng răng Implant miễn phí giá rẻ có nên không?
Trồng răng Implant là kỹ thuật cấy ghép một trụ Implant làm bằng vật liệu tương hợp với xương hàm, thường là Titanium vào vị trí răng bị mất để thay thế chân răng thật. Trụ Implant giữ vai trò nâng đỡ mão răng sứ hoặc cầu răng, giúp phục hồi chức năng ăn nhai và thẩm mỹ một cách tối ưu. Răng Implant có tuổi thọ lâu dài, ổn định cấu trúc khuôn miệng, ngăn tiêu xương và đảm bảo cảm giác như răng thật.
Trồng răng Implant
Hiện tại có nhiều chương trình “trồng răng Implant miễn phí”, “trồng răng Implant giá rẻ”, nhắm đến người có thu nhập thấp hoặc nhằm quảng bá thương hiệu. Tuy nhiên, người dùng cần hết sức thận trọng vì những rủi ro tiềm ẩn. Bởi vì răng không chỉ quyết định chức năng ăn nhai mà còn ảnh hưởng trực tiếp đến thẩm mỹ khuôn mặt. Nếu trồng răng kém chất lượng, hậu quả sẽ tác động lâu dài đến sức khỏe và cuộc sống. Vì vậy, thay vì chỉ chú ý đến chi phí, bạn nên đặt chất lượng lên hàng đầu. Thông thường, các chương trình trồng răng Implant miễn phí:
Thông thường, các chương trình trồng răng Implant miễn phí sẽ thực hiện bởi các bác sĩ mới ra trường, bác sĩ tay nghề chưa vững hoặc chưa có chứng nhận chuyên môn đầy đủ.
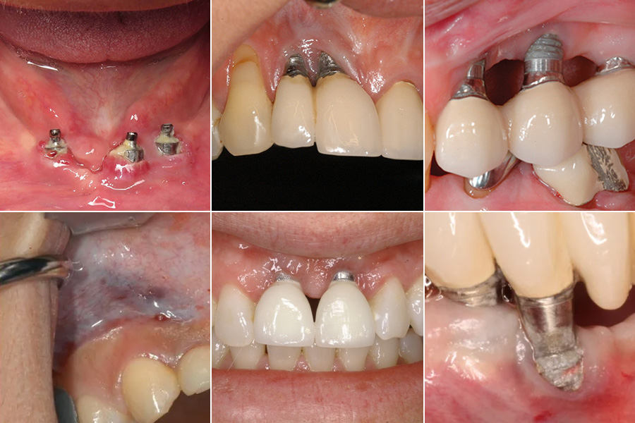
Bên cạnh đó, trang thiết bị y tế, vật liệu Implant, quy trình vô trùng có thể không đạt chuẩn, tiềm ẩn nguy cơ gây biến chứng nguy hiểm như: tổn thương dây thần kinh, nhiễm trùng, đau kéo dài, viêm nướu hoặc thất bại cắm trụ.
Trồng răng Implant miễn phí có thể dẫn đến các biến chứng nguy hiểm
Do vậy các chương trình miễn phí thường giới hạn số lượng và không đảm bảo chất lượng lâu dài. Một số chỉ trợ giá trụ, còn phần mão sứ hoặc dịch vụ vẫn phải trả phí hoặc không ngừng quảng cáo để kéo khách.
Lưu ý khi thực hiện trồng răng Implant
Trồng răng Implant mang lại nhiều ưu điểm vượt trội như tuổi thọ cao, độ bền chắc tốt, chức năng và thẩm mỹ tương tự răng thật. Tuy nhiên, vì đây là phương pháp cấy trụ Implant trực tiếp vào xương hàm và nướu, nên để đảm bảo an toàn, bạn cần lưu ý một số vấn đề quan trọng:
Trước khi tiến hành, bạn nên tìm hiểu kỹ các địa chỉ nha khoa, ưu tiên những cơ sở được nhiều khách hàng đánh giá tích cực, có giấy phép hoạt động rõ ràng và đội ngũ bác sĩ được đào tạo chuyên sâu, nhiều năm kinh nghiệm về Implant, quy trình trồng răng Implant được kiểm soát nghiêm ngặt. Đây là yếu tố quyết định đến sự thành công của ca cấy ghép.
Phẫu thuật cấy ghép Implant cần được thực hiện với độ chính xác cao
Bên cạnh đó, hãy trao đổi cụ thể với bác sĩ về tình trạng sức khỏe răng miệng hiện tại và mong muốn sau khi trồng răng. Điều này giúp bác sĩ đưa ra phác đồ điều trị phù hợp nhất, tránh những rủi ro ngoài ý muốn.
Nên lựa chọn cơ sở nha khoa uy tín có chi phí hợp lý để cấy ghép Implant
Trong quá trình thực hiện, bệnh nhân cần tuân theo mọi chỉ dẫn của bác sĩ, từ khâu chăm sóc răng miệng, chế độ ăn uống đến việc tái khám đúng lịch hẹn. Điều này sẽ đảm bảo răng Implant tích hợp tốt với xương hàm và mang lại kết quả bền vững. Đặc biệt, sau khi trồng răng nếu tình trạng đau nhức kéo dài, kèm sưng đỏ, chảy máu nhiều, cần đến ngay nha khoa để được kiểm tra và xử lý kịp thời, tránh biến chứng.
Mặt khác, việc vệ sinh răng miệng hàng ngày cần được thực hiện cẩn thận bằng bàn chải mềm, chỉ nha khoa và nước súc miệng. Trong thời gian đầu, bạn nên ăn thức ăn mềm, tránh đồ quá cứng, quá nóng hoặc quá lạnh. Đồng thời, tuyệt đối không hút thuốc lá vì sẽ ảnh hưởng đến quá trình tích hợp Implant và làm tăng nguy cơ thất bại.
Chi phí trồng răng Implant phụ thuộc nhiều vào dòng trụ cấy ghép
Cuối cùng bạn tránh những quảng cáo “giá rẻ bất ngờ”: Hiện nay có nhiều nơi quảng cáo trồng răng Implant giá rẻ, thậm chí miễn phí. Tuy nhiên, Implant là kỹ thuật phức tạp, đòi hỏi bác sĩ có chuyên môn cao và vật liệu phải đạt chuẩn. Do đó, nếu lựa chọn sai địa chỉ, bạn có thể đối mặt với nguy cơ “tiền mất tật mang”, ảnh hưởng nghiêm trọng đến sức khỏe lâu dài.
Tóm lại, “Trồng răng Implant miễn phí” có thể hấp dẫn về giá, nhưng cần được cân nhắc cực kỳ thận trọng. Nếu có ngân sách hạn chế, bạn có thể tham khảo nha khoa trồng răng Implant tại TPHCM có phí hợp lý để đảm bảo chất lượng và an toàn cho sức khỏe răng miệng về lâu dài.




