Một bé trai 11 tuổi ở Trung Quốc đã phải tiến hành phẫu thuật tại Bệnh viện Xinhua để loại bỏ con sán dài 8cm ra khỏi não.
Shanghaiist đưa tin, các bác sỹ tại Bệnh viện Xinhua, Thượng Hải, Trung Quốc, vừa tiến hành phẫu thuật loại bỏ con sán dây dài 8cm sống ký sinh trong não bé trai 11 tuổi sau khi cậu bé liên tục bị các cơn co giật.
Bé trai được đưa tới bệnh viện vào ngày 12/11 vừa qua sau lên những cơn co giật đột ngột và mất trí nhớ. Bố mẹ cậu bé tin rằng nguyên nhân dẫn đến việc em bị sán trong não là do thức ăn đường phố. Họ cho biết, cậu bé rất thích ăn đồ ăn vặt dọc đường phố. Đây là những loại thực phẩm mất vệ sinh hoặc chưa được nấu chín như món thịt nướng, thịt rắn...
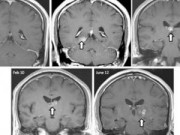
Hình ảnh con sán dài 8cm làm tổ trong não bé trai 11 tuổi
Các bác sỹ xác nhận bé trai bị nhiễm sán sparganosis, chứng bệnh dẫn tới các cơn tai biến, suy giảm trí nhớ và đau đầu.
Sán có thể thâm nhập vào cơ thể thông qua đường tiêu hóa, mắt rồi lan tới não gây tổn thương não.
Trước đó, các chuyên gia ở bệnh viện Addenbrooke's NHS Trust (Cambridge) phát hiện thấy một con sán dây dài 5 cm trong não người đàn ông ở Anh suốt 4 năm. Người đàn ông này đã đến bệnh viện kiểm tra sau khi có các triệu chứng đau đầu dữ dội, co giật, và có cảm giác ngửi thấy mùi lạ. Theo báo cáo, đây là trường hợp bệnh nhân cực kỳ hiếm, trên thế giới chỉ mới ghi nhận khoảng 300 trường hợp tương tự kể từ năm 1953.
Sán dây trong não người đàn ông ở Anh suốt 4 năm


