Sau khi được người thân “bày chiêu” để cứu chồng không “chết trên bụng vợ”, không ngờ sau đó cô dâu lại bị chính vật này làm cho phải vào viện cấp cứu.
Các bác sĩ khoa Phẫu thuật Chấn thương chỉnh hình, Bệnh viện E vừa phẫu thuật thành công lấy một dị vật sắc nhọn bằng kim loại ra khỏi mông trái một cô gái 23 tuổi ở Hưng Yên. Điều đáng nói, cô gái gặp tai nạn hy hữu khi mặc áo cưới ngồi xe hoa về nhà chồng…
Cô gái chia sẻ, vào ngày cưới, trước khi về nhà chồng, cô được người thân gài một cây kim (kim khâu vá) vào gấu váy với lờn dặn dò: “Đây là vật phòng thân để cứu chồng nếu không may bị “thượng mã phong” hoặc “hạ mã phong” trong đêm động phòng”. Thế nhưng, khi lên xe hoa cô đã bị “bảo bối hạnh phúc” này đâm vào người.
Khi bị đâm vào mông, cô gái thấy đau nhưng chỉ nghĩ bị kim chọc vào mà không hề hay biết chiếc kim đã chui vào cơ thể. Đến tối, khi vận động mạnh, cô gái thấy nhói đau do chiếc kim đâm sâu vào bên trong. Ngay lập tức, cặp vợ chồng trẻ đến bệnh viện tuyến dưới để khám. Các bác sĩ có chích da nhưng không tìm thấy dị vật.
Đến sáng 22/5/2023, đôi uyên ương đến Bệnh viện E thăm khám, chụp chiếu. BSCKII Kiều Quốc Hiền, khoa Chấn thương chỉnh hình cho biết, người bệnh nhập viện trong tình trạng đau nhiều vùng mông trái, nhất là khi ngồi. Bác sĩ khám thấy có vết chích da dài khoảng 5cm đã được xử trí khâu kín lại. Mặc dù đã được các bác sĩ tuyến dưới xử trí nhưng không thành công, người bệnh kêu buốt và đau đớn, nhất là khi vận động mạnh.
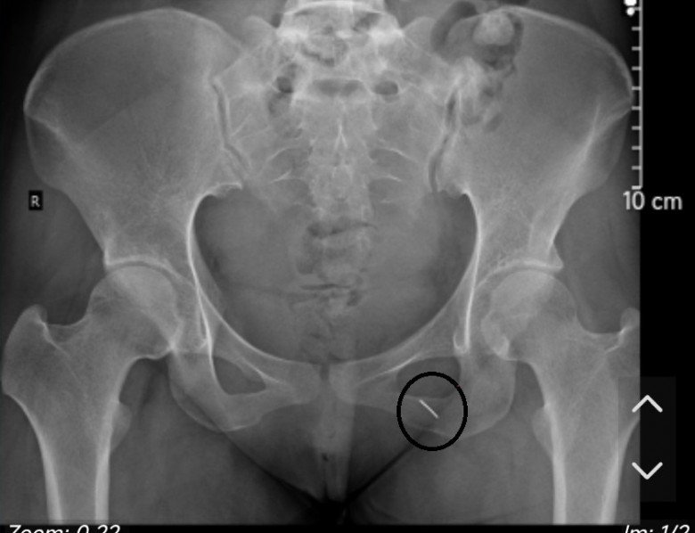
Hình ảnh chiếc kim khâu qua phim chụp và cô dâu sau khi được các bác sĩ xử lý.
Khai thác tiền sử bệnh án, người bệnh có nghi ngờ ngồi vào chiếc kim khâu may vá dài 5cm. Tuy nhiên, do người bệnh đang mang thai nên không thể tiếp xúc với tia X nên các bác sĩ cân nhắc việc chỉ định chụp X-quang định vị dị vật. Sau khi tham vấn các bác sĩ khoa Chẩn đoán hình ảnh, người bệnh được mặc áo chì, chụp đúng phần mông trái để xác định chính xác có bị dị vật đâm vào người hay không.
Kết quả phát hiện chiếc kim nằm sâu trong mông trái bệnh nhân. Chỉ sau 5 phút gây tê, các bác sĩ đã lấy ra một chiếc kim khâu dài 5cm, chưa hoen rỉ nằm sâu trong cơ mông của người bệnh.
Theo BSCKII Kiều Quốc Hiền, đây là một ca bệnh không khó nhưng mức độ nguy hiểm lại nghiêm trọng, bởi một khi cây kim khâu đó xâm nhập vào cơ thể có thể “du lịch” khắp nơi, thậm chí “tấn công” vào tim, phổi, ổ bụng… gây nên hậu quả nghiêm trọng. Ngoài ra, người bệnh đang mang thai, việc chỉ định các phương tiện chẩn đoán như chụp chiếu cần cẩn trọng để tránh gây ảnh hưởng đến thai nhi…
BSCKII Kiều Quốc Hiền khuyến cáo, nếu không may bị dị vật sắc nhọn đâm xuyên và chui vào cơ thể như kim khâu, kim tiêm… mọi người cần đến ngay cơ sở y tế có đầy đủ trang thiết bị hiện đại để xác định chính xác vị trí của dị vật và được bác sĩ chuyên khoa giỏi phẫu thuật, can thiệp sớm giúp lấy dị vật đó ra một cách nhanh nhất, tránh những hậu quả đáng tiếc.
Ngoài ra, bác sĩ khuyến cáo thêm trong trường hợp này, người bệnh không nên dùng các biện pháp dân gian hoặc tự ý lấy dị vật ra, điều này có thể càng khiến dị vật đâm sâu hơn, khó xử trí hoặc gây nguy hiểm đến tính mạng người bệnh.
