Khi đang di chuyển trên đường, bất ngờ áo chống nắng cuốn vào bánh xe khiến người phụ nữ ngã, phải nhập viện điều trị vì gãy xương.
Thông tin từ BV Việt Nam - Thụy Điển Uông Bí (Quảng Ninh) cho biết, một người phụ nữ 28 tuổi, vừa nhập viện cấp cứu vì bị ngã do áo chống nắng cuốn vào bánh xe máy khi đang di chuyển. Qua chụp chiếu, nữ bệnh nhân này bị gãy tay, hiện đã được phẫu thuật, tình hình sức khỏe ổn định và tiếp tục được theo dõi.
Các bác sĩ cho biết, việc chủ quan mặc áo chống nắng không đúng quy cách khi tham gia giao thông rất nguy hiểm, có thể gây tai nạn, thậm chí ảnh hưởng đến tính mạng.
Áo chống nắng là vật bất li thân của chị em khi ra đường. Mặc áo chống nắng không chỉ tránh nắng, mà còn phòng nguy cơ cháy nắng, chặn tia UV, hạn chế nguy cơ ung thư da. Tuy nhiên, nhiều chị em có thói quen mặc áo chống nắng rộng, không kéo khóa, trùm kín chân, tà quá dài sẽ rất nguy hiểm khi tham gia giao thông.
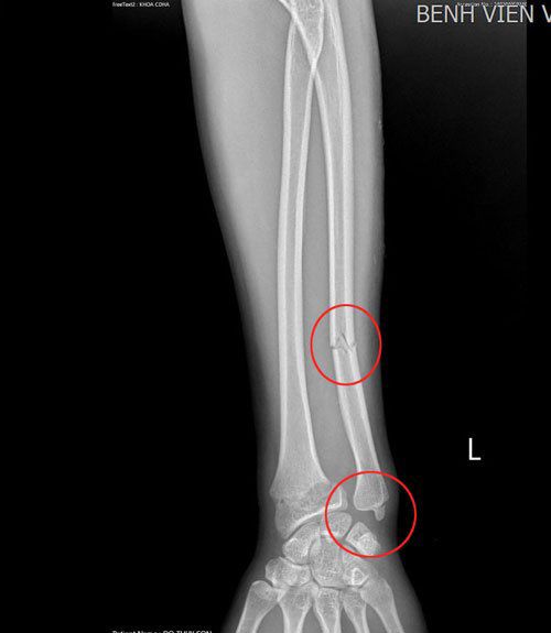
Hình ảnh gãy xương của cô gái do áo chống nắng cuốn vào bánh xe. Ảnh: BVCC.
Dưới đây là một số điều cần tránh khi mặc áo chống nắng:
- Không mặc áo chống nắng quá rộng, trùm kín đến chân gây vướng víu khi xử lý các sự cố trong quá trình tham gia giao thông. Chưa kể những chiếc váy chống nắng dài còn có thể bị quấn vào bánh xe máy khi ngồi ở phía sau. Khi đó, người điều khiển phương tiện bị vạt áo kéo giật mạnh lại phía sau, xe đổ, dẫn đến bị ngã xuống đường, rất nguy hiểm.
- Kéo khóa khi mặc áo chống nắng là việc bắt buộc phải làm, nếu không tà áo sẽ cuốn vào bánh xe gây tai nạn, thậm chí ảnh hưởng tới những người khác.
- Không trùm kín mũ áo chống nắng lên đầu hoặc đội lên trên mũ bảo hiểm để tránh hạn chế tầm quan sát. Nhiều chị em sử dụng rất nhiều phụ kiện chống nắng cùng lúc như áo mũ, khẩu trang... cũng dẫn đến khả năng quan sát bị hạn chế khi tham gia giao thông. Việc che đậy kín mít có thể khiến chị em không nghe thấy tiếng còi xe từ phía sau, giảm sự tinh nhạy trước các âm thanh cảnh báo.
Sai lầm thường gặp của chị em khi mặc áo chống nắng làm tăng nguy cơ tai nạn. Ảnh minh họa.
Mặc áo chống nắng sao cho an toàn, hiệu quả?
Để hạn chế các vụ tai nạn đáng tiếc, chị em nên chọn áo, váy chống nắng không quá dài, rộng. Nếu quá dài có thể cắt bớt để tránh quét xuống đất và mắc kẹt vào bánh xe. Khi ngồi trên xe hoặc điều khiển xe nên kéo khóa, vén áo gọn gàng và quan sát kĩ càng trước khi xuất phát.
Để tránh nguy cơ tai nạn đáng tiếc, tốt nhất nên chọn váy, áo chống nắng bó sát người nhưng vẫn đảm bảo hiệu quả chống nắng. Chiều dài tốt nhất là đến mắt cá chân. Khi ngồi không nên để váy, áo chống nắng trùm cả phần sau xe dễ bị mắc kẹt dẫn đến tai nạn.
Chất liệu vải cũng cần đảm bảo, tránh những chiếc váy quây có nguyên liệu thun mềm, khi đi xe dễ bị cuốn vào bánh sau. Ngoài ra, khi sử dụng thêm các phụ kiện chống nắng khác cần đảm bảo yếu tố quan sát, tầm nhìn và âm thanh để có thể dễ dàng quan sát và nghe thấy các âm thanh cảnh báo từ các phương tiện khác.

