Vào ăn cơm rồi xảy ra xích mích với một nhóm người, đối tượng lạnh lùng về lấy súng hoa cải ra bắn khiến cháu bé 4 tuổi bị chi chit vết đạn găm vào người.
Sáng 23/6, CA Hải Phòng cho biết, đã bắt được Hoàng Văn Hà (33 tuổi, trú huyện Thủy Nguyên) là đối tượng bắn súng hoa cải khiến một bé trai 4 tuổi nhập viện cấp cứu do trúng đạn.
Trưa 22/6, tại quán cơm của gia đình anh Chu Anh Tấn, xã Thiên Hương, huyện Thủy Nguyên, Hà vào ăn cơm và xảy ra mâu thuẫn với nhóm người bàn bên cạnh. Hà lặng lẽ bỏ về.
Tới 13h, nhóm người trên cũng ra về. Anh Tấn kéo cửa xếp đi nghỉ thì bất ngờ một tiếng súng nổ chát chúa vang, con trai anh Tấn là cháu Chu Hải Nam (4 tuổi) đứng trong nhà, gần cửa xếp bị hàng loạt mảnh đạn găm chi chít vào chân trái.
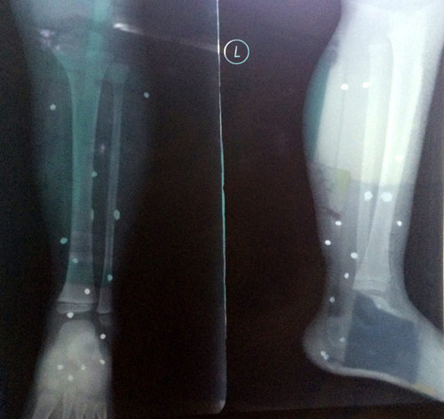
Chân bé Nam bị 15 viên đạn găm vào
Các bác sĩ xác định vùng cẳng chân trái của bé Nam có 15 viên đạn, kích thước khoảng 0,5cm, do bị súng bắn đạn hoa cải gây lên. Chiều cùng ngày, cháu Nam được chuyển lên bệnh viện Nhi trung ương để phẫu thuật, gắp các viên đạn ra.
