Tống quát
Sâu răng là một trong những bệnh răng miệng thường gặp, rất dễ mắc phải nếu chúng ta không có một chế độ chăm sóc răng miệng tốt. Sâu răng thường hay xảy ra nhất ở trẻ em. Theo nhiều nghiên cứu, tỷ lệ sâu răng ở trẻ trước tuổi đến trường là hơn 90% ở nhiều quốc gia, trong đó có Việt Nam.
Chia sẻ về vấn đề này, TS.BS. Nguyễn Thị Châu - Trung tâm kỹ thuật cao khám chữa bệnh Răng hàm mặt (Đại học Y Hà Nội) cho biết tình trạng sâu răng sữa ở trẻ em rất thường gặp ở nước ta.
Khi con em chúng ta gặp tình trạng này, có phụ huynh thì lo lắng, cũng có phụ huynh không quan tâm nhiều, vì cho rằng răng sữa rồi cũng sẽ được thay thế bằng răng vĩnh viễn. Điều này là hoàn toàn sai lầm, sâu răng sữa ở trẻ em có thể gây ra những vấn đề nghiêm trọng.
Trước hết, răng có một vài trò khá quan trọng cho giai đoạn đầu đời của bé. Răng sữa giúp bé ăn nhai, phát âm, cân đối gương mặt và giữ chỗ cho răng vĩnh viễn mọc đúng vị trí. Chính vì vậy, khi bé bị sâu răng điều này khiến bé sẽ khó khăn trong việc ăn nhai cắn xé khi răng sữa bị tổn hại nhiều. Chưa kể đến việc bé sẽ thấy đau nhức, và lười ăn. Việc nghiền nát thức ăn không tốt cũng gây tăng áp lực cho dạ dày. Và làm giảm hấp thu dinh dưỡng.
Dấu hiệu
Tình trạng sâu răng giai đoạn đầu thường không có dấu hiệu, thường chỉ phát hiện ra bị sâu răng khi quan sát thấy răng có những lỗ nhỏ, răng bị đổi màu, bị đen hay lợi bị sưng, đau… Điều này khiến cho tình trạng sâu răng thường phát hiện muộn và có tỷ lệ cao.
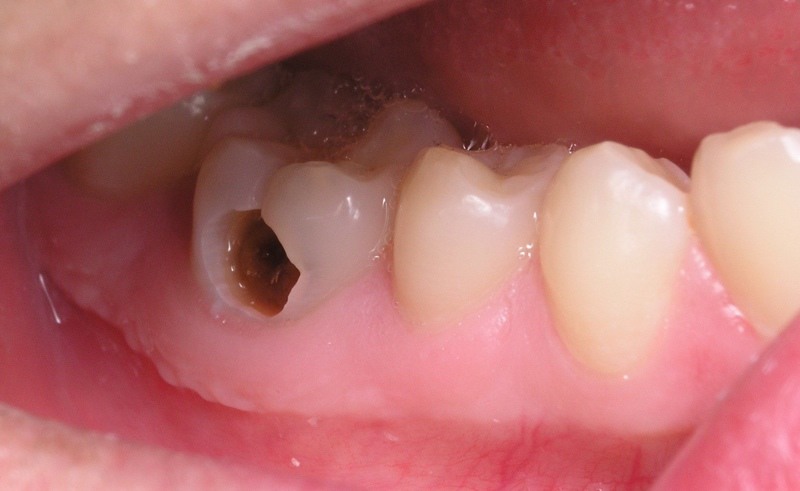
Hình ảnh răng sâu.
Nếu bị sâu răng, còn có thể có các dấu hiệu khác như:
- Bị đau răng khi nhai hoặc cắn thức ăn;
- Răng nhạy cảm khi tiếp xúc với thức ăn nóng hoặc lạnh;
- Bị đau răng mà không có lý do;
- Hôi miệng kéo dài....
Nguyên nhân
Khi chúng ta ăn, một số mảnh vụn thức ăn mắc kẹt và nằm lại trong các kẽ răng. Vi khuẩn cư trú trong khoang miệng sẽ lên men carbohydrate có trong các mảnh vụn thức ăn, tạo ra axit. Axit tấn công, gây tổn thương cho men răng dẫn đến sâu răng.
Một số nguyên nhân gây sâu răng chủ yếu bao gồm:
1. Thói quen ăn nhiều đồ ngọt
Nguyên nhân gây sâu răng phần lớn là do thói quen ăn uống. Hàm lượng đường cao trong những thực phẩm mà bạn ăn gây ảnh hưởng đến răng. Nhiều người, đặc biệt trẻ em thường thích ăn đồ ngọt, sôcôla, kem và các loại thực phẩm chứa nhiều đường nên rất dễ bị sâu răng.
Ngoài ra, việc uống nước trái cây, nước ngọt, sữa… cũng có thể gây sâu răng.
2. Thói quen chăm sóc răng miệng
Chải răng không đúng cách, không đủ thời gian cũng là nguyên nhân gây sâu răng. Đồng thời việc không sử dụng chỉ tơ nha khoa, nước súc miệng,.. khiến răng không được làm sạch đầy đủ cũng làm tăng nguy cơ sâu răng.
3. Thói quen bú bình vào ban đêm
Những bé có thói quen bú bình vào ban đêm rất dễ bị sâu răng. Nguyên do là sữa có chứa đường và có thể bám trên răng hàng giờ, tạo điều kiện thuận lợi cho vi khuẩn phát triển.
4. Thiếu fluoride
Fluoride là một khoáng chất tự nhiên có mặt trong nhiều loại thực phẩm và nước, có tác dụng bảo vệ răng, giúp phục hồi tổn thương răng trong giai đoạn đầu. Khoáng chất này được bổ sung vào nước máy, kem đánh răng và nước súc miệng. Những người sử dụng nước không có bổ sung fluoride, dùng kem đánh răng không chứa fluoride thường có nguy cơ sâu răng hơn.
5. Các vấn đề về sức khoẻ
Khi có những vấn đề về hô hấp dẫn đến khó hít thở bằng mũi mà phải thở bằng miệng cũng làm tăng nguy cơ sâu răng. Do nước bọt là yếu tố chính chống lại sâu răng. Dòng chảy và tốc độ lưu chuyển của nước bọt giúp lấy đi các mảnh thức ăn còn sót lại và vi khuẩn nên khi trẻ phải thở bằng miệng sẽ dẫn đến khô miệng. Khô miệng là một trong những nguy cơ làm gia tăng tình trạng sâu răng.
Hậu quả
Sâu răng thường tiến triển nhanh. Ban đầu không đau, sau sẽ có những cơn đau răng sâu nhẹ, đau tăng dần, đau khi ăn, thậm chí đau cả vào buổi tối làm mất ngủ. Khi bệnh nặng hơn sẽ khiến sưng nề và tạo thành áp xe lợi, nếu không điều trị kịp có thể làm sưng nề cả vùng má làm lệch một bên mặt… Miệng có mùi hôi khó chịu. Hậu quả là bị đau đớn, ăn nhai khó khăn, khó phát âm, mất thẩm mỹ.
Với trẻ nhỏ còn có thể gây mất răng sữa sớm. Khi mất răng sữa sớm dẫn đến răng vĩnh viễn mọc nghiêng, mọc lệch mọc sai vị trí hoặc không mọc được.
Cách điều trị
Răng chớm bị sâu: Có thể không cần phải hàn răng, các bác sĩ sẽ dùng các loại thuốc bôi lên mặt răng giúp tái khoáng phần bị sâu. Phương pháp này có khả năng thu hẹp vùng có màu trắng hoặc làm nó ngừng phát triển. Đây là phương pháp tái khoáng đơn giản, hiệu quả, không đau và an toàn.
Răng bị sâu nặng hơn: Cần được hàn lỗ sâu để tránh bệnh nặng hơn. Lỗ sâu sẽ được làm sạch và hàn kín bằng các loại thuốc hàn răng, khôi phục hình thể của răng, nhằm giữ được thẩm mỹ và chức năng cho hàm răng.
Cách chữa sâu răng bằng thảo dược
Một số dược thảo có thể dùng làm cách chữa sâu răng, đau nhức răng lợi.
Vỏ cây xoài:
Vỏ xoài 3 miếng, mỗi miếng bằng cỡ bàn tay, cạo bỏ phần vỏ bên ngoài, xắt nhỏ, nấu với 750ml nước, sắc còn 300ml. Cứ 3 phần nước thuốc thì thêm 1 phần rượu, cho vào chai, bảo quản để dùng dần.
Mỗi lần lấy 50ml, ngậm khoảng 10 phút, thỉnh thoảng súc miệng rồi nhổ đi. Ngày dùng 4 lần vào buổi sáng, tối (trước khi đi ngủ) và sau 2 bữa ăn chính.
Hoặc dùng:
Vỏ thân cây xoài 3 phần, trái me chua 1 phần, trái bồ kết 1 phần.
Tất cả sấy khô, sao thơm, tán thành bột mịn, lấy đầu tăm chấm thuốc vào chỗ răng đau.
Lá lốt:
Theo Đông y, lá lốt có vị cay, mùi thơm, tính ấm. Tác dụng ôn trung (làm ấm tỳ vị), tán hàn (làm tan khí lạnh), hạ khí, chỉ thống (làm hết đau). Thường dùng làm cách chữa sâu răng, ngoài ra còn chữa phong hàn thấp, tay chân lạnh, tê bại; các khớp đau nhức; rối loạn tiêu hóa, nôn mửa, đầy hơi, sình bụng, đau bụng tiêu chảy; thận và bàng quang lạnh; đau đầu; chảy nước mũi hôi, tiêu chảy.
Để chữa sâu răng, đau răng, dùng 30 - 40g lá lốt khô (80 - 100g lá tươi), hoặc dùng thân, hoa và rễ, nấu lấy nước đậm dặc, hòa với ít muối hột, để nguội rồi ngậm 1 - 2 phút, súc miệng và nhổ bỏ. Ngày súc miệng 3 - 4 lần.
Lá lốt cũng có thể dùng làm cách chữa sâu răng, đau răng.
Nước nấu lá lốt còn được dùng để ngâm tay chân chữa đau xương, thấp khớp, tê thấp, đổ mồ hôi tay chân.
Cây rau bợ:
Cây rau bợ còn gọi là cỏ bợ, rau bợ nước, thủy tần, cỏ chử điền (điền tự thảo), tứ diệp thảo, dạ hợp thảo… tên khoa học Marsilea quadrifolic L. thuộc họ rau bợ (Marrileaceae).
Để làm thuốc có thể dùng cây tươi hoặc phơi khô, bảo quản nơi khô ráo.
Theo Đông y, rau bợ có vị ngọt, hơi đắng, tính mát, không độc, tác dụng thanh nhiệt, lợi tiểu, tiêu sưng, giải độc, nhuận gan, làm sáng mắt. Thường dùng chữa viêm thận, phù chân, viêm gan, viêm kết mạc, suy nhược thần kinh, sốt cao, mất ngủ, sưng đau lợi răng, mụn nhọt, sưng vú, tắc tia sữa, khí hư bạch đới, thổ huyết, đi tiểu ra máu, sỏi thận, sỏi bàng quang, đái tháo đường.
Cây rau bợ để chữa sâu răng, đau răng, mụn nhọt rất tốt.
Chữa sâu răng, đau răng, mụn nhọt do nhiệt độc: rau bợ tươi 50 - 80g, rửa thật sạch, thêm 500ml nước, sắc còn 200ml, chia 2 - 3 lần uống trước bửa ăn.
Cây bồ đề:
Cây bồ đề gọi là cây đề, tên khoa học Ficus religiosa L., thuộc họ dâu tằm (Moraceae).
Theo phân tích, trong vỏ cây bồ đề có chứa 4% chất tanin. Mủ có chứa nhựa, trong mủ đông khô có 85% nhựa và 12% cao su.
Vỏ cây có tác dụng làm săn da. Ở Trung Quốc, người ta sắc nước vỏ cây bồ đề để làm thuốc súc miệng làm cho chắc răng và trị đau răng.
Ở Ấn Độ, vỏ được dùng để trị bệnh lậu, nước pha vỏ dùng uống trị nhiệt độc.
Ở Việt Nam, người ta thường dùng vỏ cây nấu nước rửa để trị lở loét và bệnh ngoài da.
Vỏ cây bồ đề cũng có thể thay thế vỏ cây chay để ăn với trầu cau cho chắc răng.
Nước sắc vỏ rễ và vỏ thân còn dùng làm thuốc ngậm chữa đau răng.
Để chữa đau răng, dùng vỏ rễ hoặc vỏ thân cây bồ đề 20 - 60g sắc với nước rồi ngậm, súc miệng 2 - 3 lần trong ngày.
Cây mè:
Cây mè còn gọi là vừng, hồ ma, tên khoa học Sesamum indicum L. thuộc họ Vừng (Pelaliaceae).
Chữa nướu răng bị sưng nhức: lấy 100g hạt mè nấu với 750ml nước, sắc còn 200ml, dùng để ngậm hồi lâu rồi súc miệng nhổ bỏ, ngậm nhiều lần trong ngày.
Cây gạo:
Cây gạo còn gọi là bông gạo, mộc miên, gòn, roca (Campuchia), ngiou (Lào), kapokier du Tonkin, kapokier du Malabar, tên khoa học Bombax ceiba L. (B. malabaricum DC.), thuộc họ Gạo (Bombacaceae).
Vỏ cây gạo có vị đắng, tính mát, tác dụng lợi tiểu, tiêu sưng, gây nôn. Thường dùng chữa thấp khớp, dùng vỏ tươi giã nát bó nơi bị đụng giập, gãy xương; sao vàng sắc đặc để uống giúp cầm máu trong các chứng băng huyết (thương phối hợp với hạt cây lười ươi), thông tiểu.
Người ta bóc vỏ thân, cạo bỏ lớp thô và gai, rửa sạch, xắt nhỏ, phơi hoặc sấy khô để bảo quản; thường giã nát để dùng tươi.
Ngày dùng 15 - 30g khô, sắc uống. Có thể sắc đặc và ngậm chữa đau răng.
Nước muối biển:
Sách Nam dược thần hiệu của Tuệ Tĩnh dùng muối chữa các chứng khí nghịch, tích đờm, đau bụng do nhiệt kết trong ruột và dạ dày, giết trùng độc, tiêu phù thũng, sưng lở. Muối còn được dùng làm cách chữa sâu răng, đau răng, mắt đỏ, táo bón, gây nôn mửa, chữa hạ bộ bị lở và pha nước muối + đường uống khi bị mất nước do thổ tả.
Chữa răng lung lay, lợi bị lở: nấu nước muối loãng, ngậm 3 - 4 lần trong ngày, ngậm luôn trong 5 ngày.
Theo sách Từ Hy Quang Tự y phương tuyển nghị của Trần Khả Dực, vào đời Thanh, các quan ngự y trong cung đình là Trương Trọng Nguyên và Đào Bảo Sinh đã dùng muối để chế thuốc cho Từ Hy thái hậu dùng để làm cho răng chắc, mắt sáng.
Cách bào chế như sau:
Muối sạch 1kg, hòa với nước sôi, lóng lấy nước muối trong, cho vào cái cốc to bằng bạc, nấu cho khô rồi tán bột, cho vào lọ sành, gốm, dùng dần. Mỗi buổi sáng lấy 3g xoa vào chân răng, mặt răng, một chốc lại súc miệng nhổ ra. Đồng thời dùng ngón trỏ của 2 tay lấy nước bọt trong miệng xoa lên bờ mi mắt, nhắm mắt lại một chốc sau đó mới rửa mặt.
Biện pháp phòng ngừa
Vệ sinh răng miệng
Với trẻ dưới 2 tuổi, nên chải răng cho trẻ (hoặc lau bằng gạc) nhẹ nhàng sau mỗi lần bú hoặc khi uống nước có đường.
Với trẻ lớn hơn và người lớn nên đánh răng và duy trì vệ sinh răng miệng đúng cách. Hướng dẫn trẻ cách làm sạch kẽ răng bằng các phương pháp chải răng kết hợp dùng chỉ tơ nha khoa, bàn chải kẽ răng; vệ sinh răng miệng ít nhất 2 lần trong ngày (sáng ngủ dậy và trước khi đi ngủ); dùng chỉ nha khoa loại bỏ thức ăn giắt ở kẽ răng.
Thay đổi chế độ ăn:
Ở trẻ bú mẹ, số lần cho trẻ bú nên giới hạn khoảng 8 lần/ ngày và không quá 2 lần trong đêm (đối với trẻ dưới 6 tháng tuổi). Nên bỏ động tác ru ngủ bằng cách cho bú mẹ. Không nên cho thêm chất ngọt, chất có mùi vị vào sữa. Không cho trẻ ngậm bình sữa khi đã ngủ.
Với người lớn cần hạn chế tần suất ăn vặt, giảm lượng thức ăn nhiều đường, nhiều tinh bột và đồ uống có gas. Đặc biệt không uống sữa đêm.
Nên có chế độ ăn giàu canxi và vitamin như pho mát, rau xanh..., uống nhiều nước trong ngày.
Khám răng định kỳ
Đi khám răng 6 tháng/1 lần để kịp thời can thiệp những vấn đề về bệnh răng miệng ở giai đoạn sớm nhất. Với trường hợp trẻ bị mất răng sữa sớm, cần đến bác sĩ làm hàm giữ khoảng để răng vĩnh viễn mọc lên bình thường.
Những thực phẩm giúp hạn chế sâu răng
Khuyến cáo mức tiêu thụ đường tự do < 10kg/người/năm (trung bình khoảng 500g/người/tháng) giảm đáng kể tỉ lệ sâu răng. Hiện nay, các chất ngọt không phải đường thay thế được dùng ngày càng nhiều, đặc biệt trong công nghiệp bánh kẹo và thức uống giải khát, cả trong kẹo cao su...
Dùng nguồn thức ăn giàu canxi, vitamin D: Có trong sữa, rau lá xanh, cá, phomat, hạt đậu khô... giúp chống rụng răng và loãng xương ở người lớn tuổi. Mặc dù ở nước ta, thói quen ăn phomat chưa phổ biến nhưng đây là nguồn giàu chất canxi, khi ăn phomat, canxi sẽ được giải phóng, bám vào bề mặt răng và có tác dụng phục hồi bề mặt răng chống lại sự tấn công của acid gần như ngay lập tức.
Tinh bột: Nghiên cứu dịch tễ học cho thấy tinh bột có ít nguy cơ gây sâu răng. Những người có chế độ ăn nhiều tinh bột/ít các đường nói chung có mức sâu răng thấp, trong khi những người tiêu thụ các chế độ ăn ít tinh bột/nhiều đường có mức sâu răng cao. Tinh bột được nấu chín có tính gây sâu răng bằng 1/3 hoặc một nửa khả năng gây sâu răng của saccarose.
Thức ăn tinh bột trắng (bột loại bỏ nhiều lớp vỏ bám bên ngoài của hạt ngũ cốc) thì làm cho đường và acid bám chắc vào răng. vì thế, trong bữa ăn hàng ngày, ta nên xen kẽ các thức ăn tinh, thô với các thức ăn có nhiều chất xơ (xenlulose) sẽ làm cho răng chắc khoẻ và sạch răng.
Rau quả: Ăn những thực phẩm giàu chất xơ sẽ giúp kích thích tiết nước bọt, giúp làm sạch răng và góp phần tái khoáng hóa men răng, ngăn ngừa sâu răng. Ăn những loại thực phẩm không gây hại cho răng như: dưa chuột, bắp cải, súp lơ, bí xanh, bí đỏ, cà tím, củ cải, cà rốt, dưa gang, rau diếp... giúp làm sạch răng và loại bỏ mảng bựa vôi, chỉ nên ăn 200g/bữa, nếu ăn nhiều sẽ gây táo bón, khi ăn nên nhai kỹ.
Loại thực phẩm không tốt cho răng như: chuối, chà là, nho, cà chua, quả vả, sung, táo ngọt, quả lựu, cam, quýt, quất, me chua... do chứa nhiều carbohydrate nhưng cũng không nên đoạn tuyệt vì chúng cũng có nhiều yếu tố có lợi cho răng miệng như làm sạch và chứa florua.
Chú ý: Nên chải răng sạch sau mỗi bữa ăn nhưng không nên đánh răng ngay sau khi ăn và uống nước trái cây. Lúc này, lớp men răng sẽ mềm hơn dưới tác dụng của acid hữu cơ trong rau và trái cây, bàn chải sẽ làm mài mòn men răng, vì thế, nên đợi khoảng 30 phút, nước bọt sẽ phục hồi và cân bằng chất khoáng của răng rồi hãy làm sạch chúng bằng bàn chải.





