Sa đà vào thú vui hút bóng cười trong suốt 1 năm, với tần suất 3 lần/tuần, nam thanh niên phải nhập viện vì vận động, cầm nắm khó khăn, kèm theo đau đầu, mất ngủ…
Hút bóng cười là thú vui được một bộ phận không nhỏ giới trẻ hiện nay ưa chuộng và sử dụng, khi hút nó sẽ mang lại những cảm xúc, cảm giác hưng phấn thần kinh khiến con người cười sảng khoái hơn. Thế nhưng, những hiểm họa sức khỏe nguy hại từ thú vui này mặc dù đã được cảnh báo nhưng nhiều người trẻ vẫn lạm dụng.
N.M.N (23 tuổi, Hà Nội) vừa được gia đình đưa đi khám vì thường xuyên có cảm giác tê bì tay chân, cảm giác châm chích ở các đầu chi, khó khăn trong vận động. Gần đây, trong sinh hoạt hàng ngày M gặp nhiều khó khăn, nhất là khi cầm nắm đồ vật như đũa, thìa ăn cơm cũng không chắc chắn. Kèm theo đó là tình trạng đau đầu, mất ngủ kéo dài, hồi hộp, tim đập nhanh trong suốt 1 tháng gần đây.
ThS.BS Nguyễn Thị Huyền Thu - Chuyên khoa Thần kinh, trực tiếp thăm khám cho bệnh nhân N cho biết, qua khai thác tiền sử, nam thanh niên chia sẻ có thói quen dùng bóng cười một năm nay, với tần suất khoảng 3 lần/tuần. Qua chia sẻ của người bệnh, bác sĩ đã chỉ định cho chụp cộng hưởng từ, kết quả cho thấy người bệnh bị thoái hóa đĩa đệm cột sống cổ, viêm đa dây thần kinh ngoại biên. Bác sĩ kết luận nguyên nhân gây tê bì tứ chi của bệnh nhân đến từ việc lạm dụng bóng cười kéo dài, hậu quả do ngộ độc khí N2O dẫn tới tổn thương thần kinh.
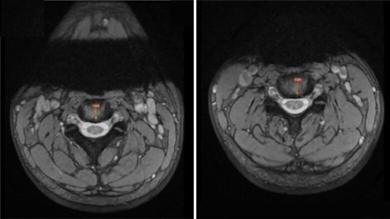
Hình ảnh chụp cộng hưởng từ cổ cho thấy bệnh nhân có thoái hóa đĩa đệm cột sống cổ. Ảnh: BSCC.
Bác sĩ Huyền Thu cho biết, trong bóng cười có chứa chất N2O, khi ngộ độc khí N2O, biến chứng thần kinh xuất hiện đầu tiên, sau đó gây ảnh hưởng đến các cơ quan khác, cảm giác ban đầu bệnh nhân có thể cảm nhận rõ đó là tê bì tứ chi. Với những tổn thương thần kinh xuất hiện sau 6 tháng sẽ không còn khả năng hồi phục. Trường hợp này, may mắn, triệu chứng mới xuất hiện 1 tháng nên bệnh nhân vẫn còn cơ hội hồi phục nếu tuân thủ điều trị.
Theo bác sĩ Thu, việc lạm dụng N2O có thể dẫn tới rối loạn thần kinh như co giật, mất kiểm soát, trầm cảm, rối loạn cảm giác, liệt vận động, rối loạn giấc ngủ, tổn thương hệ thần kinh trung ương… Ngay cả khi sử dụng ở nồng độ thấp, người dùng cũng có thể bị giảm nhận thức, tầm nhìn và thính giác.
Do vậy, bác sĩ Thu khuyến cáo, người dân, đặc biệt thanh thiếu niên không nên sử dụng bóng cười vì những biến chứng nguy hiểm có thể gây ảnh hưởng sức khỏe. Đồng thời, giới trẻ cần duy trì lối sống lành mạnh, tập thể dục thể thao, ăn uống và sinh hoạt điều độ, thường xuyên kiểm tra sức khỏe định kỳ để xây dựng cuộc sống vui khỏe.
Bóng cười có thể mang lại cảm giác sảng khoái tức thì, nhưng hệ lụy với sức khỏe thì vô cùng lớn. Ảnh minh họa.
Được biết, bóng cười là bóng bay được bơm khí N2O, loại khí này khi hít vào có khả năng tác động mạnh lên một điểm của hệ thần kinh, tạo cảm giác hưng phấn cho cơ thể, gây cười và sảng khoái cho người sử dụng.
Theo Bộ Y tế, khí Nitơ Oxit (công thức hoá học là N2O) là hóa chất được ứng dụng rộng rãi trong nhiều lĩnh vực như công nghiệp (sản xuất pin mặt trời, sử dụng trong kỹ thuật hàn/ cắt dùng cho máy, tăng công suất động cơ...); y học (gây mê, an thần, giảm đau…); thực phẩm (sữa lên men, cream, mì ống, mì sợi… tuân thủ quy định của Ủy ban Tiêu chuẩn thực phẩm quốc tế - Codex).
Bộ Y tế cho biết, theo báo cáo của một số địa phương đã xảy ra tình trạng mua bán, sử dụng bóng cười có chứa khí N2O tại các quán bar, vũ trường, quán karaoke, khu vui chơi giải trí… ảnh hưởng xấu đến sức khỏe người sử dụng, đồng thời gây ra những tác động tiêu cực đến đời sống xã hội.
Để đảm bảo sức khỏe, cũng như đảm bảo an ninh, an toàn cho xã hội, Bộ Y tế đã đề nghị các địa phương giám sát, quản lý chặt chẽ việc sản xuất, kinh doanh, nhập khẩu, sử dụng N2O đúng theo quy định của pháp luật.

