Tránh thai
Có rất nhiều biện pháp tránh thai, bao gồm cả phương pháp dùng hành động, dụng cụ hoặc thuốc men để ngăn chặn việc thụ thai. Chị em phụ nữ cần cân nhắc việc lựa chọn biện pháp nào để đảm bảo an...
Tin được quan tâm nhất
Bài viết mới nhất
7 cách quan hệ để tránh có thai: Cách cuối ít người biết, có cách tốn 0đ dù vẫn có nguy cơ
Quan hệ như thế nào để không có thai, cùng tìm hiểu qua bài trắc nghiệm sau đây.
Á hậu Việt vạch bắp tay để lộ que ngừa thai cấy dưới da, chưa làm đám cưới sau 2 năm sinh con với...
Chia sẻ của á hậu 9X thu hút hơn nửa triệu lượt xem và vô số bình luận từ cư dân mạng.
Bí ẩn: Bà mẹ 29 tuổi sốc khi phát hiện mang thai dù đã thắt ống dẫn trứng
“Tôi đã tận mắt nhìn thấy 2 ống dẫn trứng của mình bị thắt. Vậy mà bây giờ tôi lại đang mang thai! Thực sự rất hiếm gặp!”, cô nói.
Vợ trẻ tránh thai bằng cách vừa quan hệ xong vội vàng đi rửa, việc làm này có hiệu quả?
Rất nhiều chị em sợ mang thai ngoài ý muốn, vì thế ngay sau khi làm chuyện ấy đã vội vàng đi rửa với mục đích tránh thai. Vậy việc làm này liệu có tốt và tránh được việc có thai ngoài ý...
Chồng triệt sản 6 tháng, vợ bất ngờ mang thai 3 tháng, kết quả ADN khiến cả nhà sững sờ
Sau khi nhận kết quả vợ mang thai, anh Vương chết sững tại chỗ. Anh nhớ như in rằng mình đã thắt ống dẫn tinh từ 6 tháng trước, đồng nghĩa với việc không thể có con.
Ngạc nhiên: Mang thai sau khi triệt sản khá phổ biến
TPO - Triệt sản bằng cách thắt ống dẫn trứng được cho là một hình thức ngừa thai vĩnh viễn và là phương pháp tránh thai phổ biến nhất tại Mỹ. Thế nhưng, một nghiên cứu mới đây báo cáo rằng,...
Vòng tránh thai 30 năm lạc chỗ đâm thủng ruột non
Quảng Ninh - Đặt vòng tránh thai hơn 30 năm, người phụ nữ 66 tuổi đau bụng dữ dội, bác sĩ phát hiện chiếc vòng lạc chỗ, đâm thủng ruột non gây viêm nặng.
Gánh nặng tránh thai đè lên vai người vợ
Hà Nội - Chồng không thích dùng bao cao su nên chị Lan đành đi thắt ống dẫn trứng để ngừa mang thai ngoài ý muốn và giữ gìn hạnh phúc gia đình.
Hối hận vì triệt sản
Hà Nội - Trở lại bệnh viện sau 6 năm thắt ống dẫn tinh, người đàn ông 48 tuổi đề nghị bác sĩ nối lại để không tự ti với người vợ thứ hai.
Diễn viên Lê Khánh lên tiếng về tin đồn mang thai lần 3, khẳng định đã triệt sản
Trước tin đồn về việc mang thai lần thứ ba, Lê Khánh đã có những chia sẻ rõ ràng để làm sáng tỏ vấn đề này.
Sau thắt ống dẫn tinh bao lâu được quan hệ tình dục?
Nam giới không nên quan hệ tình dục ít nhất hai tuần sau khi thắt ống dẫn tinh để vết thương lành lại, dùng các biện pháp bảo vệ trong vài tháng để tránh nguy cơ thụ thai.
Những trường hợp chống chỉ định với cấy que tránh thai
Cấy que tránh thai là phương pháp tránh thai hiện đại, cho hiệu quả ngừa thai cao. Tuy nhiên không phải phụ nữ nào cũng dùng được que cấy tránh thai, những trường hợp dưới đây được chống chỉ...
Thiếu gia chưa vợ con đã đòi triệt sản, bác sĩ nghe xong lý do phải thốt lên “giàu chưa chắc sướng”
Chàng trai trẻ tuổi, chưa kết hôn, có điều kiện gia đình giàu có nhưng lại muốn triệt sản khiến bác sĩ phải bất ngờ thốt lên: “Hoá ra có tiền cũng chưa chắc sướng”.
Bao cao su không chỉ đeo vào là xong, nam giới bỏ qua 3 điều này thì vừa vô ích lại giảm phong độ...
Chọn bao cao su phù hợp sẽ đưa bạn "lên mây", chọn sai sẽ đưa bạn ra khỏi giường nhanh chóng.
Các biện pháp tránh thai có thể gây rụng tóc?
Nhiều chị em sau khi sử dụng các biện pháp tránh thai nội tiết tố thấy tóc hay bị rụng hơn. Do đó, mọi người thắc mắc có phải biện pháp tránh thai là nguyên nhân gây rụng tóc?
Vợ vừa " yêu " vừa nơm nớp lo sợ vì chồng lần nào cũng dùng bao cao su kiểu này
Người chồng khăng khăng cho rằng khi nào gần xuất tinh mới đeo bao cao su sẽ có thể tránh thai khiến vợ thường xuyên nơm nớp lo sợ dính bầu.
Miếng dán tránh thai có tác dụng phụ không?
Dùng miếng dán tránh thai về cơ bản rất tiện lợi. Tuy nhiên khi sử dụng phương pháp tránh thai này cần phải biết những điều dưới đây.
Cách tránh thai bằng nước ép hoa hồng, lấy xạ hương nhét rốn để không sinh con của cung nữ ngày xưa
Khi chưa có những biện pháp tránh thai khoa học như hiện nay, các mỹ nhân và cung nữ thời xưa chốn cung đình Trung Quốc thường tránh thai bằng xạ hương, nước ép hoa hồng Tây Tạng.
Sau khi được hoàng thượng thị tẩm, phi tần sợ nhất điều này xảy ra, có người thậm chí còn vì thế mà...
Dù phải tranh giành để được vua sủng hạnh nhưng các phi tần cũng chẳng dễ dàng gì để mang được long thai.
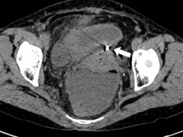
Thủng tử cung vì đặt vòng tránh thai quá lâu
Nữ bệnh nhân nhập viện vì đau bụng dưới rốn, ra dịch máu âm đạo. Trước đó, bệnh nhân đã đến bệnh viện tháo dụng cụ tránh thai nhưng thất bại
CHỦ ĐỀ PHỔ BIẾN
Tin hay đừng bỏ lỡ
Mẹ ruột Mỹ Tâm từng là hoa khôi xứ Quảng dịu dàng nay viên mãn tuổi xế chiều, cùng Mai Tài Phến đi ủng hộ con gái