Hầu hết chúng ta khi bị cảm lạnh, sổ mũi đều cố gắng xì mũi thật mạnh để đẩy hết chất nhầy ra ngoài. Nhưng mới đây, một người phụ nữ đã làm điều đó “quá mạnh mẽ” và dẫn tới hậu quả nghiêm trọng.
Người phụ nữ (giấu tên) là nhân viên dọn vệ sinh, 36 tuổi đến từ Canada. Khoảng 1 năm trước, cô bị cảm và sổ mũi rất nhiều nên đã lấy giấy để xì mũi. Tuy nhiên sau đó đột nhiên cô thấy thị lực giảm dần, mắt trái bắt đầu sưng lên và chảy máu mũi.
Dù vậy, cô không nghĩ đó là vấn đề nghiêm trọng cho đến vài giờ sau, cô đột nhiên không nhìn thấy gì và đầu bên trái bắt đầu bị đau. Ngay lập tức, cô nhờ người đưa tới bệnh viện.
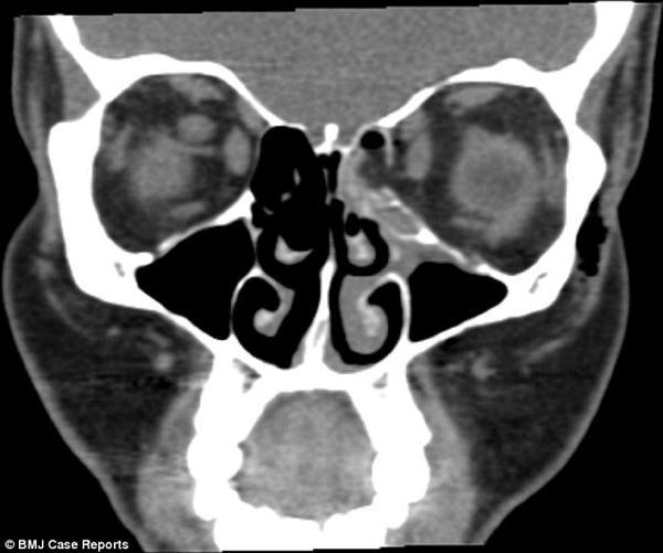
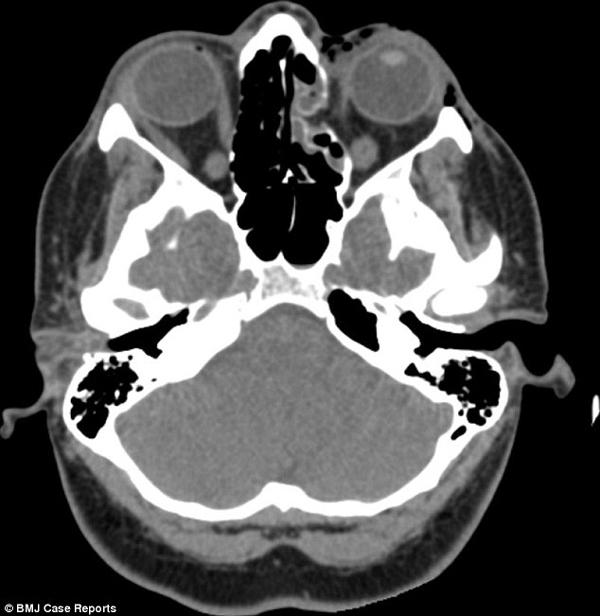
Tại Bệnh viện Đại học North Middlesex, sau khi chụp chiếu và khám kỹ lưỡng, các bác sĩ chẩn đoán cô bị gãy xương trong mắt trái và đây là một thương tích rất hiếm khi xảy ra. Mặc dù tầm nhìn của cô bị suy giảm và xương mắt bị gãy nhưng may mắn các chuyển động và bộ phận khác vẫn bình thường.
Các chất nhầy chảy tràn vào mũi bên trái tạo thành khoảng đen trên phim chụp.
Xem thêm: Xì mũi sai cách và những biến chứng khó lường.
Lý giải về nguyên nhân khiến cho người phụ nữ bị gãy xương trong ổ mắt, Tiến sĩ Sam Myers, bác sĩ tại Bệnh viện Đại học North Middlesex cho biết khi xì mũi, người phụ nữ đã vô tình làm tăng áp lực trong xoang khiến xương bị gãy. Đồng thời chính điều này đã khiến cho các chất nhầy rò rỉ vào đường hô hấp và trong mô quanh mắt.
Ngoài ra, có khả năng vùng xương quanh mắt bệnh nhân bị yếu từ trước và thói quen hút 20 điếu thuốc mỗi ngày đã tác động không nhỏ đến chấn thương.
Các bác sĩ cho biết trường hợp xì mũi mạnh tới mức gây chấn thương nghiêm trọng thật sự rất hiếm, họ chưa bao giờ gặp trường hợp như vậy. Bác sĩ còn nhấn mạnh chấn thương của người phụ nữ ngang với việc bị một người đàn ông đấm thẳng vào mặt.
Giảng viên tại Đại học Queensland, Tiến sĩ David King cũng chia sẻ: “Việc xì mũi nhiều lần với lực mạnh có thể mang lại nhiều rủi ro hơn lợi ích. Mặc dù đó là phản ứng tự nhiện của chúng ta khi bị nghẹt mũi. “
Tiến sĩ cũng khuyến cáo những người xì mũi quá nhiều lần có thể bị một số bệnh khác như viêm xoang hoặc dị ứng và cần phải được điều trị.
Hiện tại, sau một thời gian điều trị, thị lực của người phụ nữ đã dần quay trở lại. Tuy nhiên cô cũng cho biết đôi lúc vẫn bị đau đầu ở bên trái khoảng 30 phút đến 1 tiếng.
Xì mũi thế nào mới đúng?
Xì mũi đúng cách sẽ giúp đẩy được một phần dịch mủ của xoang ra khỏi mũi xoang. Chỉ được xì mũi khi hai hốc mũi thực sự thông thoáng. Khi xì mũi chỉ được bịt từng bên lỗ mũi một, không nên bịt cả 2 bên lỗ mũi để cho không khí chạy ra.
Các bước khi xì mũi:
- Bịt một bên lỗ mũi, bên còn lại để thoáng.
- Đầu hơi cúi, ngậm mồm, thở mạnh ra.
- Đổi bên và làm lại như vậy, mỗi bên làm 2-3 lần cho sạch.




