Bị chẩn đoán nhầm là mắc bệnh tâm thần, người phụ nữ ở Lào Cai dần dần trở nên lơ ngơ thật vì tác dụng phụ của thuốc, cho tới khi được xác định đúng bệnh và chữa trị đúng cách.
Hàng tháng, người phụ nữ quê Hải Dương vẫn thường xuyên tự làm món ăn này với mong muốn giải nhiệt cơ thể, không ngờ sau đó phải nhập viện điều trị.
Thói quen ăn món cá tái sống có thể là nguyên nhân gây nhiễm sán lá gan, ảnh hưởng nghiêm trọng tới sức khỏe, thậm chí ung thư.
Dù không có biểu hiện rõ ràng nhưng khi đi xét nghiệm, người phụ nữ bất ngờ khi bác sĩ thông báo dương tính với giun lươn ở não.
Ngoài việc nhiễm giun sán, nội tạng động vật nếu không biết nguồn gốc rõ ràng còn có nguy cơ bị tẩm ướp hóa chất gây hại tới sức khỏe.
Các bác sĩ vô cùng sốc khi một con sán dây dài tới 18 mét chui ra từ mông của một người đàn ông sau khi anh ta phàn nàn về việc xì hơi quá nhiều.
Đây là những món ăn nhiều người Việt nghiện mê mẩn nhưng lại có thể khiến bạn bị nhiễm ký sinh trùng nếu chế biến không đúng cách.
Một đứa trẻ mới 1 tuổi nhưng đã bị nhiễm sán ở cả gan và phổi. Điều bất ngờ là thủ phạm lại ở ngay trong gian bếp của gia đình.
Do người thân thường xuyên bắt được cua núi mang về nấu canh, nhưng nấu chưa kỹ nên bé gái khi ăn phải đã bị sán lá phổi tấn công.
Bạn sẽ không thể tưởng tượng được trong amidan của người phụ nữ này có một con giun dài đến 4cm đang trú ngụ.
Một người đàn ông ở Thái Lan đã bị ấu trùng sán lợn xâm chiếm toàn bộ cơ thể và cả não bộ.
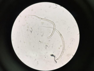
Sau khi làm thủ thuật, các bác sĩ đã gắp ra 5 con giun ở tay và chân bệnh nhân. Điều đáng nói, loại giun này chưa từng ghi nhận ở Việt Nam trước đó,
Liên tục thiếu máu và chảy máu đến mức kiệt sức, bệnh nhân đến viện trung ương khám phát hiện giun lúc nhúc trong ruột.
Bệnh viện Đa khoa tỉnh Phú Thọ mới đây đã điều trị thành công cho bệnh nhi 4 tuổi đã bị viêm não - màng não. Mà nguyên nhân có liên quan tới chính những vật nuôi trong gia đình.
Các loại thực phẩm rất quen thuộc trong đời sống hàng ngày nếu không biết cách chế biến thì rất dễ nhiễm bệnh, đặc biệt là nhiễm ký sinh trùng.
Không chỉ bệnh nhi 11 tuổi phải nhập viện do búi giun khoảng 100 con ngoe nguẩy trong ổ bụng gây tắc ruột mà còn có nhiều trường hợp giun đục thủng ruột, giun chui lên mắt khiến bệnh nhân...
Theo một khảo sát của Viện Sốt rét – Ký sinh trung – Côn trùng Trung ương, có đến 3/4 dân số Việt Nam nhiễm các loại giun sán, trong đó có sán xơ mít, sán dải lợn, sán dải bò...
"Cô gái, làm thế nào mà lá lách của bạn trông giống như một viên gạch bị nung hỏng vậy?" Từ phòng chụp CT, bác sĩ rất ngạc nhiên khi hỏi Hà Lệ Lệ.
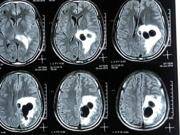
Do ăn tiết canh, một người đàn ông ở huyện Quỳ Hợp, Nghệ An đã bị liệt nửa người vì não có nhiều sán làm tổ gây phù não.
Sán xơ mít khi ký sinh ở người gây ra nhiều bệnh lý nguy hiểm cho sức khỏe. Điều nguy hại, một người trong nhà bị sán xơ mít có thể lây nhiễm cho cả nhà nếu không biết cách phòng tránh.
Khi thấy đau bụng quanh rốn, kèm theo hoa mắt chóng mặt người phụ nữ đi khám phát hiện con vật kinh hoàng đang cư trú trong dạ dày.
Đây đều là những loại cá giàu dinh dưỡng, tốt cho sức khỏe và rất phù hợp trong mâm cơm gia đình Việt. Không chỉ dừng lại ở giá trị ẩm thực, nhiều loại cá còn mang ý nghĩa sung túc, may mắn...